מרפאת שיניים בירושלים - רופא שיניים בירושלים

ד"ר סטלה הייזלר: ציפוי שיניים (חרסינה, קומפוזיט, למינייט), שתלים דנטליים, שיקום הפה ורפואת שיניים דחופה בחירום

המומחיות שלנו:
אסתטיקה של חלל הפה עם גישה ייחודית ורגישה למטופלים עם חרדה דנטלית

שתלים דנטליים

אנו מתמחים בהשתלות שיניים מתקדמות, המעניקות פתרון קבוע ויציב לשיניים חסרות. השתלים שלנו, העשויים מטיטניום באיכות גבוהה, משתלבים באופן טבעי בעצם הלסת ומשמשים כבסיס איתן לכתרים או גשרים. הודות לניסיון הרב והטכנולוגיה המתקדמת, אנו מבטיחים תהליך השתלה מדויק, בטוח ויעיל, עם תוצאות מרשימות הן מבחינה תפקודית והן מבחינה אסתטית.

ציפוי שיניים

מרפאתנו מציעה מגוון פתרונות מתקדמים לציפוי שיניים, המותאמים באופן אישי לצרכי המטופל. ציפויי חרסינה מעניקים מראה טבעי ועמידות גבוהה לאורך שנים, ומהווים פתרון מושלם לשיניים פגומות או משוננות. ציפויי קומפוזיט מאפשרים תיקון מהיר ויעיל של פגמים קוסמטיים, בעוד ציפויי למינייט דקיקים מספקים פתרון אסתטי מינימלי-פולשני לשיפור החיוך שלכם. כל הטיפולים מבוצעים בטכנולוגיה מתקדמת ובדיוק מרבי.

שיקום הפה

שיקום הפה במרפאתנו מציע פתרון כולל ומקיף לשיקום השיניים והחיוך. אנו מפתחים תכנית טיפול מותאמת אישית הכוללת שילוב של טכניקות מתקדמות כגון כתרים, גשרים, שתלים ועוד. מטרתנו היא לא רק לשקם את התפקוד של השיניים, אלא גם להעניק למטופלינו חיוך בריא, יפה וטבעי. הטיפול המקיף כולל גם התייחסות למפרקי הלסת ולמנשך הכולל, תוך שימת דגש על נוחות ארוכת טווח.

טיפולי השיניים ומגוון השירותים הנוספים שלנו

לא משנה באיזה מצב השיניים שלכם, באיזה מנח ובאיזה צבע – יש לנו מגוון טיפולי שיניים, שירותים מקצועיים ופתרונות לכל בעיה.

ד"ר סטלה הייזלר הינה בין רופאי השיניים המומלצים בירושלים ומומחית לכל סוגי טיפולי השיניים וחרדה דנטלית.

טיפולי שיניים משמרים בירושלים
טיפולים משמרים

טיפולי שורש, מבנים, סתימות וכל סוגי העקירות

טיפולי שיניים כירורגיים בירושלים
טיפולים כירורגיים

הרכבת שתלים דנטליים עם סד כירורגי ממוחשב, הרמת סינוס, השתלם עצם ושתלים דנטליים

טיפולי שיניים מניעתיים בירושלים
טיפולים מניעתיים

טיפול בפלואוריד

טיפולי שיניים אסתטיים בירושלים
טיפולים אסתטיים

הלבנת שיניים, כתרים זירקוניה, סתימות לבנות, ציפויי חרסינה, ציפויי קומפוזיט ועוד

שיקום הפה בירושלים
שיקום הפה

השלמת שיניים חסרות, טיפול בשיניים שחוקות, טיפול שיניים פולשני זהיר, כתרים וכל סוגי השיניים התותבות

טיפולי חניכיים בירושלים
טיפולי חניכיים

הסרת אבנית, ניקוי עמוק – הקצעת שורשים ועוד

המטופלים שלנו הם השגרירים הכי טובים שלנו

אספנו עבורכם מספר חוות דעת והמלצות מהמטופלות והמטופלים שלנו

ישראל מרקוביץ
לפני 3 שבועות
ביצועים טובים מאוד ו‏שירות מעולה אני יצאתי מרוצה מאוד
Светлана Аникеева
לפני 2 חודשים
Я вообще не планировала делать виниры, просто пришла на консультацию из любопытства. Ну и вот, уже полгода хожу и улыбаюсь всем подряд 😄 Честно говоря, больше всего боялась именно этого “голливудского” эффекта — когда зубы белые-белые и сразу видно что это не настоящие. У доктора Стелы вышло совсем не так. Подруга, которая знает меня сто лет, спросила просто “ты что-то сделала с собой? выглядишь хорошо” — и всё. Не поняла даже что именно. Цвет подбирали долго, примеряли, я немного занудничала — но никто не торопил. В итоге результат именно такой, как я хотела: красиво, но по-настоящему.
Azeb Zaro
לפני 4 חודשים
עבודה מדהימה!! אני יצאתי הכי מרוצה בעולם בזכות סטלה הפרפקציוניסטית שלא הרימה ידיים עד שהגענו לתוצאה המושלמת!! ממליצה מאוד אם רוצים עבודה מקצועית ואיכותית. חד משמעית החזירה לי את הביטחון לחיוך❤️
Jacob Raviv
לפני 4 חודשים
מקצועית מאוד, והכל באווירה אנושית ובליווי הסבר ברור ושיקוף של התהליך. הגעתי אליה לציפויים, והתוצאה מעבר למצופה. מצטרף לממליצים
ליהי בלילטי
לפני 4 חודשים
הרופאה הכי טובה, תקתקנית, מקצועית וישירה בהכל.
Omer Mitrani
לפני 4 חודשים
רופאה מעולה חוץ מזה שהיא מצחיקה מקצוענית מאוד
Gabi Ouliel
לפני 4 חודשים
מרפאה אסטטית עם רופאה מקצוענית פעם ראשונה אצלה אין ספק שאחזור טיפול מקצועי ובאדיבות הרגשה מאוד בטוחה ישר כח!
Tal Brudo
לפני 4 חודשים
גנית יהושע
לפני 5 חודשים
טיפול מסור שירות אדיב מאוד ,מרפאה נעימה יפה מאוד מסודרת ונקייה
yael yehoshua
לפני 5 חודשים
רופאת שיניים שאפשר לסמוך עליה. ד"ר סטלה פשוט אלופה – גם מקצועית וגם מרגיעה ונעימה
Mayan dvir
לפני 5 חודשים
יעל בניטה
לפני 5 חודשים
פנינה תשרה
לפני 5 חודשים
מקום מהמם שירות ויחס חם חוויה מושלמת רופאה טוב ממש כיף להגיע למרות שיש חשש מרופא שיניים פה אתה מרגיש בטוח בלי פחד ישר כוח 🙏❣️❣️
Ruben Lublin
לפני 5 חודשים
מירב לוי
לפני 5 חודשים
ממליצה בחום על ד״ר סטלה הייזלר, רופאת שיניים מיקצועית, עדינה, אחראית, נותנת ביטחון, מסבירה כל שלב במהלך הטיפול ומלאת שמחה ואנרגיות טובות ❤️
גלית כהן
לפני 6 חודשים
המרפאה של סטלה מקצועית ונעימה אנשי צוות מקצועיים ושירותיים ברמה הכי גבוה
שלומי סיטון
לפני 6 חודשים
מקצועי אנושי מומלץ פלוס🤘
Magic Man
לפני 6 חודשים
מרפאה מספר אחת! הכי מקצועית בירושלים מומלץ בחום⭐️⭐️⭐️⭐️⭐️
Rikki Hertz
לפני 9 חודשים
דורית היא שיננית נדירה. ממש דיברה איתי והתעניינה והמליצה לי על כל מיני דברים. היה ממש נוח ואישי
אבי
לפני 9 חודשים
Avichai Levi
לפני 9 חודשים
ד"ר סטלה רופאה מקצועית, עדינה וסבלנית. נתנה לי תחושת ביטחון לאורך כל הטיפול והסבירה הכול בצורה ברורה. ממליץ בחום!
Or Dego
לפני 9 חודשים
She is the best
Arielle Idan
לפני 9 חודשים
אין על סטלה
Itzik
לפני 9 חודשים
ד״ר סטלה אישה מדהימה, גם בהיבט המקצועי וגם בהיבט האישי. ממליץ בחום!
Natalia R
לפני 9 חודשים
דר' סטלה הייזלר היא רופאה מעולה, נעימה וקשובה, ידי זהב, גם מבחינה רפואית וגם אסטטית. דואגת שלא יהיה כואב. מוציאה מראש תוכנית טיפול עם עלויות, ולא דוחפת טיפולים סתם.
קרן קציר-שטיבל
לפני 9 חודשים
הטיפול במרפאה נעים ומכיל מאוד. ובעיקר יסודי ומועיל 😀
הילה לוי צפדיה
לפני 9 חודשים
סטלה אלופה , שירות מסור ועבודה מושלמת.
Or Ben-Moshe (Araxeus)
לפני 10 חודשים
בר קרני
לפני 10 חודשים
מרפאה מקסימה ושירות מקצועי!
ZIPPER BAGS
לפני 11 חודשים
ד''ר סטלה הייזלר מספר אחת נכנסים עם חיוך ויוצאים עם חיוך 🙂
Sarah Barbe
לפני 11 חודשים
טיפול יסודי ביותר ! אווירה נעימה ומקום מצוחצח להפליא! עדינה ויסודית מאוד!!!
tamar berger
לפני 11 חודשים
שלי טל
לפני 11 חודשים
בתור אחת שפחדנית סטלה עדינה מאוד ועושה עבודה מושלמת! מרוצה מאוד כבר כמה שנים אצלה כל המשפחה
Gila Rockman
לפני 11 חודשים
רופאת שיניים הכי אכפתית הכי מקצועית במדינת ישראל - אני עם ד״ר סטלה הייזלר כבר 19 שנה !
libby Shapira
לפני 11 חודשים
מומלצת ביותר מכל הבחינות ! תודה רבה🙏🙏🙏
ella lesnik
לפני 11 חודשים
מקצועית, סימפטית ומחירים הגיוניים ממליצה בחום
Arik Mordecahi
לפני 11 חודשים
סטלה היא רופאה מאוד מקצועית וקשובה ואפילו קצת מגניבה. עומדת בזמני התורים שנקבעו מראש, אני נמצא אצלה כבר מספר חודשים ואני מאוד מרוצה מתוצאות הטיפול ומהיחס שלה ושל סימה שמסייעת לה. אהרון מרדכי
Katarina Maksimovic
לפני 11 חודשים
Dr. Stela is an excellent dentist — kind, patient, and truly skilled. Thanks to her, I finally have the best smile ever!
Orli Linett
לפני 11 חודשים
פחדתי מאוד מרופאי שיניים עד שפגשתי את סטלה ואת סימה. סטלה הסבירה לי בדיוק מה שהיא הולכת לעשות והקשיבה לי כל פעם שאמרתי שכואב לי וטיפלה בכאב ובפחד שלי. סימה תמיד החזיקה לי את היד ודיברה איתי הרגיעה וחזקה אותי. אני מטופלת אצל סטלה מעל 10 שנים ואין סיכוי שאחליף אותן ברופא שיניים אחר! אני גרה במרכז הארץ כבר 5 שנים ואני נוסעת לירושלים במיוחד כדאי לקבל את הטיפול של ד"ר סטלה ושל סימה. אורלי לינט
דיקלה רחימי עוז
לפני 11 חודשים
Bar Messika
לפני 11 חודשים
דר סטלה היא רופאה מדהימה מעניקה יחס אישי, המחירים הוגנים והרופאה הכי מקצועית שיצא לי להכיר. זמינות גבוהה לתורים, עובדת באזור מצוין ומרכזי ומשקיעה בכל מטופל ומטופל
Elon Lublin
לפני 11 חודשים
מספר 1# המרפאה הטובה בעיר ❤️
תמר קראוס
לפני 11 חודשים
Rotem A
לפני 11 חודשים
סטלה רופאה משכמה ומעלה. מקצועית, אנושית, ומדויקת. יודעת לקלוע בדיוק לטיפול הנכון, ולהעניק למטופל את התחושה והידיעה שהוא מטופל, עטוף ומוגן. ביחד עם סימה המקסימה והרגישה, הן משרות אווירה של רוגע גם לאנשים בעלי פוביה חזקה מטיפולי שיניים (כמוני). אני מטופלת אצל סטלה שנים, ומוקירה לה ולסימה תודה ענקית על הרגישות, המקצועיות והעבודה הפנטסטית.
סיון עמר
לפני 11 חודשים
צוות מהמם ומקצועי!! שירות מעבר לצפוייי👌
Michael K
לפני 12 חודשים
שירות מצויין
Leora Deverett
לפני 12 חודשים
אין על סטלה! הסבלנות, אכפתיות ודייקנות.
Yaron L
לפני 12 חודשים
סטלה רופאת השיניים הטובה בירושלים! כבר שנים שמלווה אותי ותמיד נעים, מקצועי ומהנה ומוזיקה טובה ברקע 🙂
מעיין נופר עמון
לפני 12 חודשים
רופאה בחסד עליון. שירות מבריק. משתלמת ומתעדכנת כל הזמן וזה ניכר בטיב הטיפולים😄
Asher Asaraf
לפני 12 חודשים
מעולה צוות מדהים מהמזכירות עד רופאת השינים.

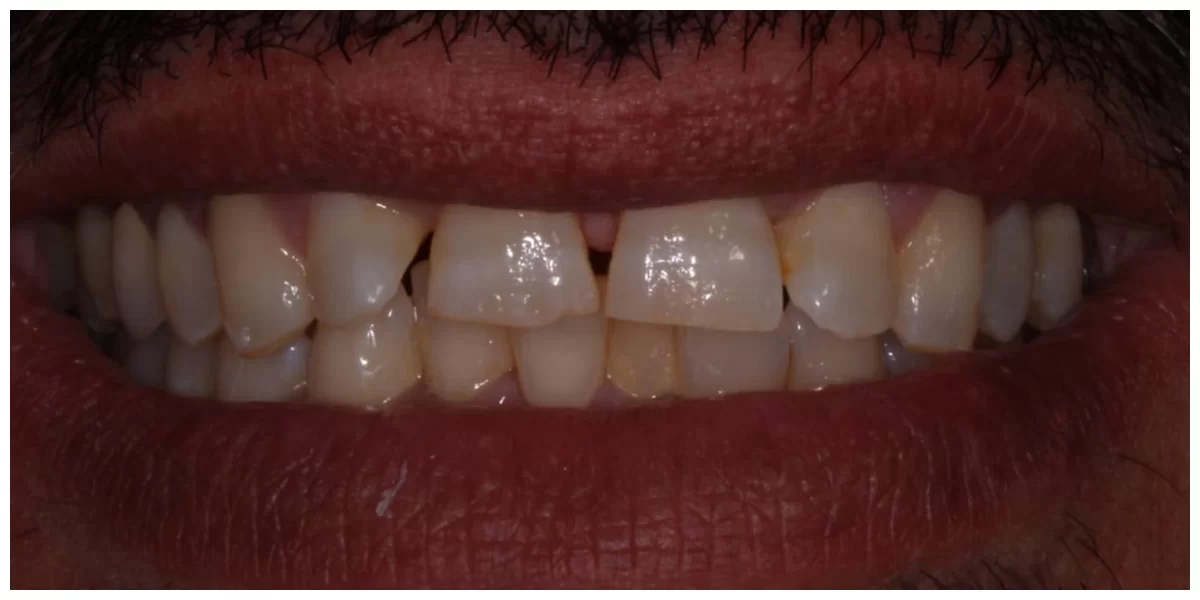
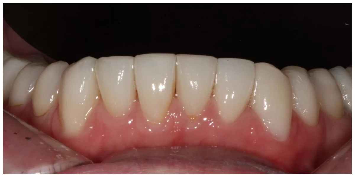
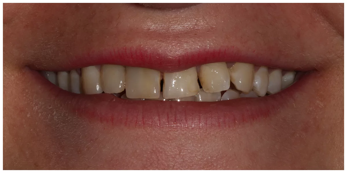
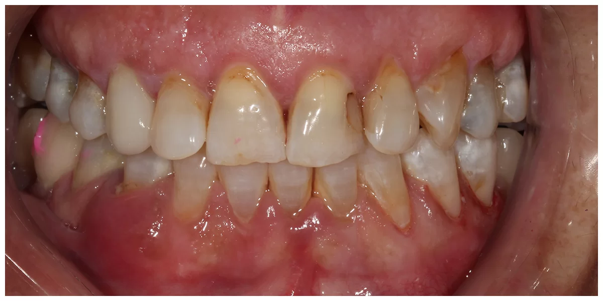
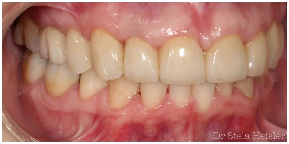
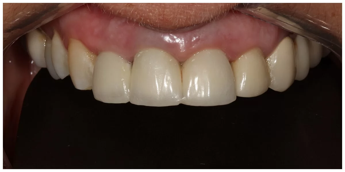
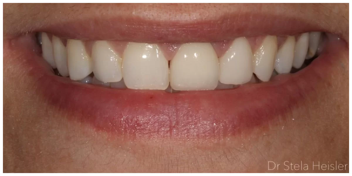
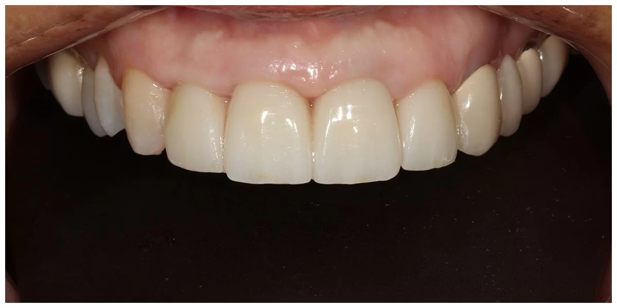
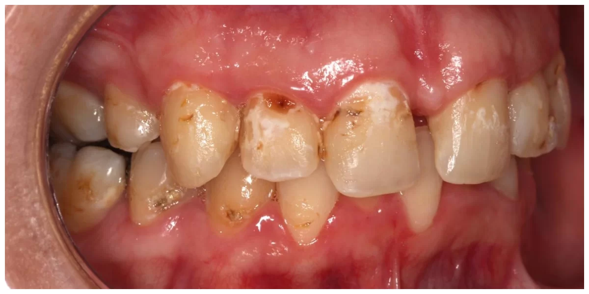
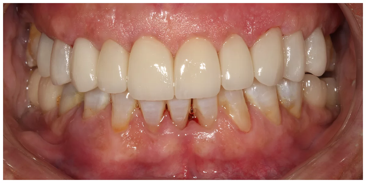
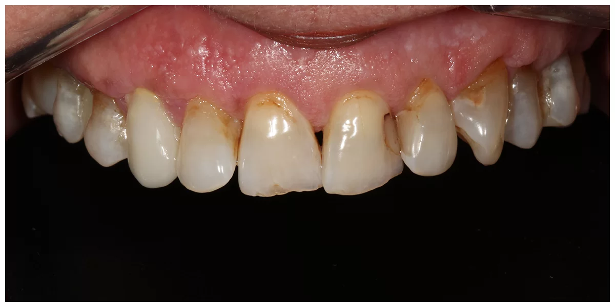
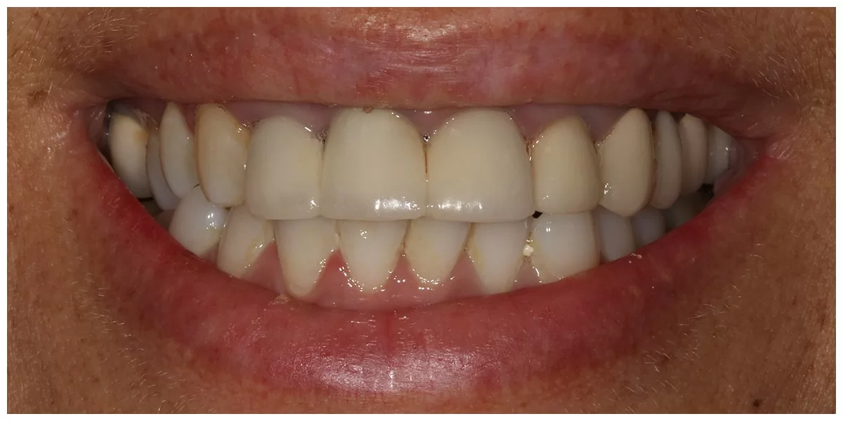
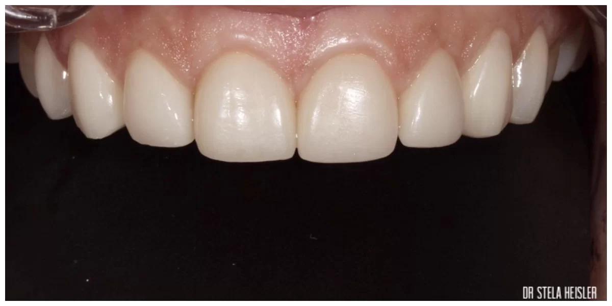
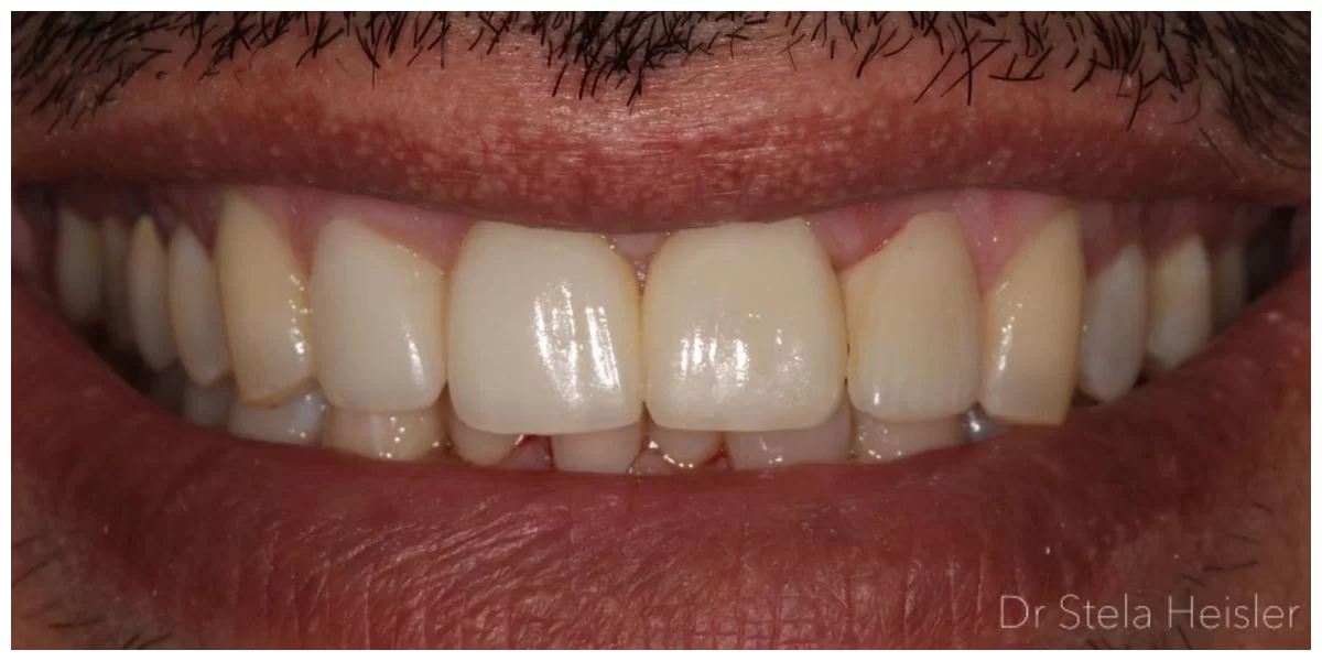
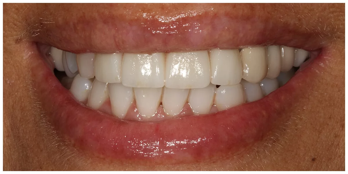
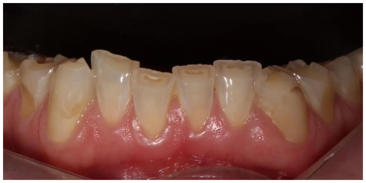
תמונות לפני ואחרי של המטופלים שלנו במרפאת השיניים בירושלים

אצלנו במרפאת השיניים בירושלים
אתם בידיים טובות

כדי לחולל את המהפך בחיוך שלכם, עלינו לעמוד בסטנדרטים בלתי מתפשרים מבחינת מקצועיות.

לכן, חרטנו על דגלנו שלושה עקרונות חשובים אשר מטרתם לאפשר לכם לצאת מהמרפאה עם החיוך שתמיד חלמתם עליו: איכות, רגישות ואסתטיקה.

איכות

אנחנו עובדים עם החומרים האיכותיים ביותר. אנחנו מאמינים שטיפול טוב, מקצועי ואיכותי יניב את התוצאות הטובות ביותר הן מבחינת המראה והן מבחינת עמידות ושמירתן לאורך זמן

רגישות

במרפאת שיניים בירושלים אנו מתמחים בטיפול בסובלים מחרדה דנטלית. במקרים רבים, בזכות הסבלנות ותשומת הלב של ד"ר הייזלר מטופלים שבעבר נמנעו מלהגיע לרופאי שיניים השלימו טיפול מלא ואף הגיעו אליו עם חיוך

אסתטיקה

אנחנו מתמחים בשינויים ומהפכים אסתטיים ושמים דגש לא רק על איכות העבודה אם גם על המראה הסופי- הרי בסופו של דבר מדובר בחיוך שלכם

ישראל מרקוביץ
לפני 3 שבועות
ביצועים טובים מאוד ו‏שירות מעולה אני יצאתי מרוצה מאוד
Response from the owner:תודה רבה, ישראל❤️
Светлана Аникеева
לפני 2 חודשים
Я вообще не планировала делать виниры, просто пришла на консультацию из любопытства. Ну и вот, уже полгода хожу и улыбаюсь всем подряд 😄 Честно говоря, больше всего боялась именно этого “голливудского” эффекта — когда зубы белые-белые и сразу видно что это не настоящие. У доктора Стелы вышло совсем не так. Подруга, которая знает меня сто лет, спросила просто “ты что-то сделала с собой? выглядишь хорошо” — и всё. Не поняла даже что именно. Цвет подбирали долго, примеряли, я немного занудничала — но никто не торопил. В итоге результат именно такой, как я хотела: красиво, но по-настоящему.
Azeb Zaro
לפני 4 חודשים
עבודה מדהימה!! אני יצאתי הכי מרוצה בעולם בזכות סטלה הפרפקציוניסטית שלא הרימה ידיים עד שהגענו לתוצאה המושלמת!! ממליצה מאוד אם רוצים עבודה מקצועית ואיכותית. חד משמעית החזירה לי את הביטחון לחיוך❤️
Response from the owner:תודה רבה אזב!! איזה כיף לקרוא את מה שכתבת!! מחמם את הלב🩷
Jacob Raviv
לפני 4 חודשים
מקצועית מאוד, והכל באווירה אנושית ובליווי הסבר ברור ושיקוף של התהליך. הגעתי אליה לציפויים, והתוצאה מעבר למצופה. מצטרף לממליצים
Response from the owner:תודה רבה. איזה כיף לשמוע!!! 🩷
ליהי בלילטי
לפני 4 חודשים
הרופאה הכי טובה, תקתקנית, מקצועית וישירה בהכל.
Omer Mitrani
לפני 4 חודשים
רופאה מעולה חוץ מזה שהיא מצחיקה מקצוענית מאוד
Response from the owner:🩷🩷 תודה רבה
Gabi Ouliel
לפני 4 חודשים
מרפאה אסטטית עם רופאה מקצוענית פעם ראשונה אצלה אין ספק שאחזור טיפול מקצועי ובאדיבות הרגשה מאוד בטוחה ישר כח!
Response from the owner:תודה רבה גבי!! נשמח לראות אותך שוב אצלינו..
Tal Brudo
לפני 4 חודשים
גנית יהושע
לפני 5 חודשים
טיפול מסור שירות אדיב מאוד ,מרפאה נעימה יפה מאוד מסודרת ונקייה
yael yehoshua
לפני 5 חודשים
רופאת שיניים שאפשר לסמוך עליה. ד"ר סטלה פשוט אלופה – גם מקצועית וגם מרגיעה ונעימה
Response from the owner:תודה רבה!! איזה כיף לשמוע!! ♥️
Mayan dvir
לפני 5 חודשים
יעל בניטה
לפני 5 חודשים
פנינה תשרה
לפני 5 חודשים
מקום מהמם שירות ויחס חם חוויה מושלמת רופאה טוב ממש כיף להגיע למרות שיש חשש מרופא שיניים פה אתה מרגיש בטוח בלי פחד ישר כוח 🙏❣️❣️
Ruben Lublin
לפני 5 חודשים
מירב לוי
לפני 5 חודשים
ממליצה בחום על ד״ר סטלה הייזלר, רופאת שיניים מיקצועית, עדינה, אחראית, נותנת ביטחון, מסבירה כל שלב במהלך הטיפול ומלאת שמחה ואנרגיות טובות ❤️
Response from the owner:תודה רבה מירב יקרה לשנו!!! מילים מהממות!!♥️
גלית כהן
לפני 6 חודשים
המרפאה של סטלה מקצועית ונעימה אנשי צוות מקצועיים ושירותיים ברמה הכי גבוה
Response from the owner:תודה רבה גלית!!!♥️
שלומי סיטון
לפני 6 חודשים
מקצועי אנושי מומלץ פלוס🤘
Magic Man
לפני 6 חודשים
מרפאה מספר אחת! הכי מקצועית בירושלים מומלץ בחום⭐️⭐️⭐️⭐️⭐️
Rikki Hertz
לפני 9 חודשים
דורית היא שיננית נדירה. ממש דיברה איתי והתעניינה והמליצה לי על כל מיני דברים. היה ממש נוח ואישי
אבי
לפני 9 חודשים
Avichai Levi
לפני 9 חודשים
ד"ר סטלה רופאה מקצועית, עדינה וסבלנית. נתנה לי תחושת ביטחון לאורך כל הטיפול והסבירה הכול בצורה ברורה. ממליץ בחום!
Or Dego
לפני 9 חודשים
She is the best
Arielle Idan
לפני 9 חודשים
אין על סטלה
Itzik
לפני 9 חודשים
ד״ר סטלה אישה מדהימה, גם בהיבט המקצועי וגם בהיבט האישי. ממליץ בחום!
Natalia R
לפני 9 חודשים
דר' סטלה הייזלר היא רופאה מעולה, נעימה וקשובה, ידי זהב, גם מבחינה רפואית וגם אסטטית. דואגת שלא יהיה כואב. מוציאה מראש תוכנית טיפול עם עלויות, ולא דוחפת טיפולים סתם.
קרן קציר-שטיבל
לפני 9 חודשים
הטיפול במרפאה נעים ומכיל מאוד. ובעיקר יסודי ומועיל 😀
הילה לוי צפדיה
לפני 9 חודשים
סטלה אלופה , שירות מסור ועבודה מושלמת.
Or Ben-Moshe (Araxeus)
לפני 10 חודשים
בר קרני
לפני 10 חודשים
מרפאה מקסימה ושירות מקצועי!
ZIPPER BAGS
לפני 11 חודשים
ד''ר סטלה הייזלר מספר אחת נכנסים עם חיוך ויוצאים עם חיוך :)
Sarah Barbe
לפני 11 חודשים
טיפול יסודי ביותר ! אווירה נעימה ומקום מצוחצח להפליא! עדינה ויסודית מאוד!!!
tamar berger
לפני 11 חודשים
שלי טל
לפני 11 חודשים
בתור אחת שפחדנית סטלה עדינה מאוד ועושה עבודה מושלמת! מרוצה מאוד כבר כמה שנים אצלה כל המשפחה
Gila Rockman
לפני 11 חודשים
רופאת שיניים הכי אכפתית הכי מקצועית במדינת ישראל - אני עם ד״ר סטלה הייזלר כבר 19 שנה !
libby Shapira
לפני 11 חודשים
מומלצת ביותר מכל הבחינות ! תודה רבה🙏🙏🙏
Response from the owner:תודה רבה ליבי !!! איזה כיף לשמוע!! תמיד כיף לנו שאת באה!!
ella lesnik
לפני 11 חודשים
מקצועית, סימפטית ומחירים הגיוניים ממליצה בחום
Arik Mordecahi
לפני 11 חודשים
סטלה היא רופאה מאוד מקצועית וקשובה ואפילו קצת מגניבה. עומדת בזמני התורים שנקבעו מראש, אני נמצא אצלה כבר מספר חודשים ואני מאוד מרוצה מתוצאות הטיפול ומהיחס שלה ושל סימה שמסייעת לה. אהרון מרדכי
Katarina Maksimovic
לפני 11 חודשים
Dr. Stela is an excellent dentist — kind, patient, and truly skilled. Thanks to her, I finally have the best smile ever!
Orli Linett
לפני 11 חודשים
פחדתי מאוד מרופאי שיניים עד שפגשתי את סטלה ואת סימה. סטלה הסבירה לי בדיוק מה שהיא הולכת לעשות והקשיבה לי כל פעם שאמרתי שכואב לי וטיפלה בכאב ובפחד שלי. סימה תמיד החזיקה לי את היד ודיברה איתי הרגיעה וחזקה אותי. אני מטופלת אצל סטלה מעל 10 שנים ואין סיכוי שאחליף אותן ברופא שיניים אחר! אני גרה במרכז הארץ כבר 5 שנים ואני נוסעת לירושלים במיוחד כדאי לקבל את הטיפול של ד"ר סטלה ושל סימה. אורלי לינט
Response from the owner:תודה רבה אורלי שלי ♥️. תמיד כיף שאת באה אלינו
דיקלה רחימי עוז
לפני 11 חודשים
Bar Messika
לפני 11 חודשים
דר סטלה היא רופאה מדהימה מעניקה יחס אישי, המחירים הוגנים והרופאה הכי מקצועית שיצא לי להכיר. זמינות גבוהה לתורים, עובדת באזור מצוין ומרכזי ומשקיעה בכל מטופל ומטופל
Elon Lublin
לפני 11 חודשים
מספר 1# המרפאה הטובה בעיר ❤️
תמר קראוס
לפני 11 חודשים
Rotem A
לפני 11 חודשים
סטלה רופאה משכמה ומעלה. מקצועית, אנושית, ומדויקת. יודעת לקלוע בדיוק לטיפול הנכון, ולהעניק למטופל את התחושה והידיעה שהוא מטופל, עטוף ומוגן. ביחד עם סימה המקסימה והרגישה, הן משרות אווירה של רוגע גם לאנשים בעלי פוביה חזקה מטיפולי שיניים (כמוני). אני מטופלת אצל סטלה שנים, ומוקירה לה ולסימה תודה ענקית על הרגישות, המקצועיות והעבודה הפנטסטית.
סיון עמר
לפני 11 חודשים
צוות מהמם ומקצועי!! שירות מעבר לצפוייי👌
Michael K
לפני 12 חודשים
שירות מצויין
Leora Deverett
לפני 12 חודשים
אין על סטלה! הסבלנות, אכפתיות ודייקנות.
Yaron L
לפני 12 חודשים
סטלה רופאת השיניים הטובה בירושלים! כבר שנים שמלווה אותי ותמיד נעים, מקצועי ומהנה ומוזיקה טובה ברקע :)
מעיין נופר עמון
לפני 12 חודשים
רופאה בחסד עליון. שירות מבריק. משתלמת ומתעדכנת כל הזמן וזה ניכר בטיב הטיפולים😄
Asher Asaraf
לפני 12 חודשים
מעולה צוות מדהים מהמזכירות עד רופאת השינים.

שניה לפני שאתם עוזבים,
הזמינו תור לפגישת ייעוץ!

לפני יציאה - דסקטופ

אתם כבר פה.
למה שלא תזמינו תור לפגישת ייעוץ?

לפני יציאה - מובייל
דילוג לתוכן