דף הבית » דלקת חניכיים: גורמים, תסמינים, טיפול ועוד
דלקת חניכיים: גורמים, תסמינים, טיפול ועוד
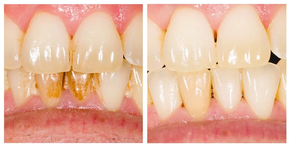
דלקת חניכיים מתחילה בסימנים שקל לדלג עליהם – חניכיים מדממות בצחצוח, ריח רע מהפה, ורגישות – אך ללא טיפול היא מתקדמת לפריודונטיטיס שגורמת לאובדן עצם, נשירת שיניים ובעיות בריאותיות מערכתיות. דלקת חניכיים ראשונית הפיכה לחלוטין עם ניקוי מקצועי והיגיינה נכונה, אך ככל שמאחרים כך הטיפול נהיה מורכב יותר. נשים בהריון, מעשנים ואנשים עם סוכרת – נמצאים בסיכון גבוה במיוחד ומצריכים מעקב תכוף יותר.
דלקת חניכיים היא זיהום חיידקי הפוגע בחניכיים ובעצמות התומכות בשיניים. זהו מצב רפואי שיכול לנוע מדלקת חניכיים קלה ועד דלקת חניכיים חמורה. אם דלקת החניכיים לא מטופלת כראוי, היא עלולה להוביל לנשירת שיניים. במאמר זה נדון בפירוט בדלקת חניכיים, לרבות הסימפטומים שלה, הגורמים, שלבי ההתפתחות של דלקת החניכיים, סוגים אחרים של מחלות חניכיים,טיפול בדלקת חניכיים, תרופות ביתיות לדלקת חניכיים, סיבוכים אפשריים וכיצד ניתן להימנע מדלקת חניכיים.
דלקת בחניכיים נגרמת מהצטברות פלאק – רובד חיידקים שנוצר על השיניים והחניכיים. רובד חיידקים יכול להתקשות עד כדי אבנית, אותה רק רופא השיניים יכול להסיר. החיידקים בפלאק ובאבנית מייצרים רעלים שעלולים לפגוע בחניכיים וברקמות אחרות התומכות בשיניים. עם הזמן, מצב זה יכול להוביל לדלקת, זיהום, ואובדן העצם והרקמות התומכות בשיניים.

דלקת בחניכיים היא מצב נפוץ המשפיע על אנשים בכל הגילאים. על פי המרכז לבקרת מחלות ומניעתן (CDC) בארה"ב, כמעט מחצית מהמבוגרים בארצות הברית סובלים ממחלת חניכיים כלשהי. דלקת חניכיים שכיחה יותר בקרב מבוגרים, מעשנים ואנשים עם סוכרת או מערכת חיסון מוחלשת.
דלקת בחניכיים – סימפטומים
דלקת חניכיים כוללת תסמינים שונים, כגון:
- חניכיים אדומות, נפוחות או רגישות למגע: חניכיים נגועות נראות לעיתים קרובות אדומות, נפוחות ורגישות למגע.
- חניכיים מדממות: אחד הסימנים המוקדמים ביותר לדלקת בחניכיים הוא דימום מהחניכיים בזמן צחצוח שיניים או שימוש בחוט דנטלי.
- ריח רע מהפה: ריח רע מהפה כרוני, הידוע גם בשם הליטוזיס, הוא סימפטום שכיח של דלקת בחניכיים.
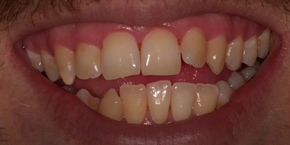
- נסיגת חניכיים: זיהום בחניכיים עלול לגרום לחניכיים להתרחק מהשיניים ולחשוף את השורשים.
- רגישות שיניים: עם נסיגת החניכיים, שורשי השיניים נחשפים ויכולים להיות רגישים לטמפרטורות חמות או קרות.
- שיניים רפויות: עם החמרת זיהום החניכיים, השיניים עלולות להפוך לרופפות ואף לנשור.
- כאב בעת לעיסה: זיהום בחניכיים יכול לגרום לכאב בעת נגיסה או לעיסת מזון.
אם אתם חווים באחד או יותר מהתסמינים האלו, חשוב לקבוע פגישת ייעוץ במרפאת השיניים שלנו בירושלים בהקדם האפשרי כדי למנוע נזק נוסף לחניכיים ושיניים שלכם.


גורמים
דלקת חניכיים נגרמת מהצטברות של רובד חיידקים על השיניים והחניכיים. להלן כמה גורמים נפוצים וסיבות לזיהום ולדלקות חניכיים:
היגיינת פה לקויה: אי צחצוח שיניים ושימוש בחוט דנטלי באופן קבוע עלולים לאפשר הצטברות רובד חיידקים על השיניים והחניכיים, מה שמוביל לזיהום בחניכיים. לחצו כאן כדי ללמוד איך מצחצחים שיניים נכון.
עישון: עישון מחליש את המערכת החיסונית ויכול להקשות על הגוף להילחם בדלקות חניכיים.
גנטיקה: אנשים מסוימים עשויים להיות מועדים יותר לדלקות חניכיים עקב גורמים גנטיים.
תרופות: תרופות מסוימות עלולות לגרום ליובש בפה, מה שעלול להוביל להצטברות של חיידקים בפה ולסיכון מוגבר לדלקות בחניכיים.
שינויים הורמונליים: שינויים הורמונליים במהלך ההיריון, ההתבגרות וגיל המעבר יכולים להפוך את החניכיים לרגישים יותר ולהגביר את הסיכון לזיהום בחניכיים.
מצבים בריאותיים: מצבים בריאותיים מסוימים, כמו סוכרת ו-HIV (איידס), יכולים להקשות על הגוף להילחם בדלקות החניכיים.
תזונה לקויה: תזונה עשירה בסוכר ומזון מעובד יכולה לתרום לדלקות בחניכיים בכך שהיא מספקת מקור מזון לחיידקים בפה.
חשוב להקפיד על הרגלי היגיינת הפה ולבקר באופן קבוע אצל רופא שיניים כדי למנוע התפתחות של דלקות חניכיים.
שלבי ההתפתחות של דלקת החניכיים
ישנם שני סוגים עיקריים של דלקת חניכיים: דלקת חניכיים (Gingivitis) ודלקת חניכיים כרונית (Periodontitis).
דלקת חניכיים (Gingivitis): דלקת חניכיים היא הצורה המתונה יותר של זיהום בחניכיים ומתרחשת כאשר החניכיים הופכות דלקתיות עקב הצטברות של רובד חיידקים (פלאק). דלקת חניכיים היא הפיכה עם היגיינת שיניים נכונה וניקוי מקצועי.
דלקת חניכיים כרונית (Periodontitis): דלקת חניכיים כרונית היא צורה חמורה יותר של דלקת חניכיים המתרחשת כאשר זיהום החניכיים אינו מטופל ומתקדם לעצם ולרקמות התומכות בשיניים. דלקת חניכיים גורמת לחניכיים להתרחק מהשיניים, ובכך יוצרת כיסים המתמלאים בחיידקים. הטיפול בדלקת חניכיים עשוי לכלול ניקוי אבנית והקצעת שורשים, אנטיביוטיקה או אפילו ניתוח, בהתאם לחומרת הזיהום.
ניתן למנוע את שני סוגי דלקת החניכיים באמצעות היגיינת פה טובה, כגון צחצוח פעמיים ביום, שימוש בחוט דנטלי מדי יום ובדיקות וניקוי שיניים קבועים. אם אתם חווים תסמינים כלשהם של דלקת חניכיים, חשוב לפנות אלינו לאבחון וטיפול.

סוגים אחרים של מחלות חניכיים
מלבד דלקת חניכיים, ישנם גם סוגים אחרים של מחלות חניכיים, וביניהם:
- דלקת חניכיים אגרסיבית: דלקת חניכיים אגרסיבית היא צורה נדירה אך חמורה של מחלת חניכיים שעלולה להוביל להרס מהיר של החניכיים ורקמת העצם. סוג זה של מחלת חניכיים מתרחש לרוב בקרב מבוגרים צעירים ולעתים קרובות קשור לנטייה גנטית.
- פריודונטיטיס הנגרמת על ידי מחלות מערכתיות: מחלות מסוימות כמו סוכרת, מחלות לב ו-HIV יכולות לתרום להתפתחות ולהתקדמות של מחלות חניכיים.
- מחלה פריודונטלית כיבית-נמקית: סוג זה של מחלת חניכיים הוא צורה נדירה וחמורה של דלקת חניכיים הגורמת למוות של רקמות החניכיים ועצמות השיניים. התסמינים כוללים חניכיים כואבות ומדממות, ריח רע מהפה וכיבים.

טיפול
הטיפול בדלקת חניכיים יכול להשתנות בהתאם לחומרת המצב. במקרים קלים ניתן לטפל בדלקת חניכיים לעיתים קרובות באמצעות הקפדה יתרה על היגיינת הפה, כגון צחצוח ושימוש בחוט דנטלי באופן קבוע, ושימוש במי פה אנטי בקטריאליים. השימוש במי פה אנטי בקטריאליים מצריך מירשם מאת רופא השיניים לשימוש מוגבל של עד כשבוע ורק לאחר ניקוי אבנית.
במקרים חמורים יותר, הטיפול עשוי לכלול:
- ניקוי עמוק והקצעת שורשים: טיפול זה כולל ניקוי עמוק של השיניים והחניכיים כדי להסיר רובד חיידקים (פלאק) והצטברות אבנית מעל ומתחת לקו החניכיים.
- אנטיביוטיקה: ניתן לרשום אנטיביוטיקה לבליעה או לשימוש חיצוני כדי להשיג שליטה על הזיהום.
- ניתוח חניכיים: במקרים קשים של דלקת חניכיים, ייתכן שיהיה צורך בניתוח כירורגי להסרת רקמת חניכיים פגומה ומיקום מחדש של רקמת חניכיים בריאה.
- השתלת עצם: אם הזיהום גרם לאובדן עצם, ייתכן שיהיה צורך בהשתלת עצם כדי לסייע בחידוש רקמת העצם.
- טיפול בלייזר: במקרים מסוימים, ניתן להשתמש בלייזר דנטלי כדי להסיר רקמה נגועה.
תרופות סבתא לדלקת חניכיים
אמנם חשוב לפנות לטיפול מקצועי בדלקות חניכיים, אבל יש כמה תרופות סבתא ביתיות שעשויות לעזור ולהקל על הסימפטומים של דלקת חניכיים, לדוגמה:
- גרגור מי מלח: שטיפה וגרגור מי מלח יכולים לעזור להפחית דלקת חניכיים ולהרוג חיידקים בפה. ההוראות פשוטות: ממיסים כפית מלח במים חמימים, מערבבים את התמיסה, מגרגרים את התמיסה בפה במשך 30 שניות ואז יורקים אותה החוצה.
- שמן עץ התה: ניתן למרוח שמן עץ התה מדולל על החניכיים כדי לסייע בהפחתת דלקת החניכיים ולהילחם בחיידקים. מערבבים טיפה של שמן עץ התה עם שמן קוקוס, ומורחים על החניכיים עם צמר גפן נקי.
- אלוורה: לאלוורה יש תכונות אנטי דלקתיות וניתן למרוח אותה על החניכיים כדי לסייע בהפחתת דלקת החניכיים ולזרז את ההחלמה. פשוט מרחו כמות קטנה של ג'ל אלוורה על האזור הדלקתי.
- כורכום: לכורכום יש תכונות אנטי דלקתיות וניתן לערבב אותו עם מים ליצירת משחה שניתן למרוח על החניכיים.
שימו לב: בעוד שתרופות אלו עשויות לספק הקלה מסוימת, חשוב מאוד לפנות לטיפול מקצועי בדלקות חניכיים כדי למנוע החמרה של המצב.
סיבוכים אפשריים של דלקת חניכיים

- אובדן שיניים: הזיהום עלול לפגוע בעצם וברקמות החיבור התומכות בשיניים, מה שעלול להוביל לנשירת שיניים.
- נסיגת חניכיים: החניכיים עלולות לסגת, לחשוף יותר משורש השן ולהפוך אותה לרגישה יותר לעששת ולזיהום.
- מורסות: כיסי מוגלה יכולים להיווצר סביב השיניים והחניכיים, מה שעלול לגרום לכאב ולנפיחות.
- בעיות בריאות מערכתיות: דלקות חניכיים נקשרו למספר בעיות בריאותיות מערכתיות, כולל מחלות לב, שבץ וסוכרת.
- קושי באכילה ובדיבור: דלקת חניכיים חמורה עלולות להקשות על אכילה או דיבור בחופשיות.
- מראה שונה: דלקת חניכיים מתקדמת עלולה לגרום לחניכיים להתרחק מהשיניים ולגרום להן להיראות ארוכות מהרגיל. זה יכול להשפיע על מראה החיוך והפנים – ובסופו של דבר – על הביטחון העצמי שלכם.
מניעה
מניעה היא המפתח להצלחה כשמדובר בדלקת חניכיים. להלן מספר טיפים שיסייעו במניעת דלקות חניכיים:
- צחצחו שיניים והשתמשו בחוט דנטלי באופן קבוע: צחצחו לפחות פעמיים ביום והשתמשו בחוט דנטלי לפחות פעם ביום כדי להסיר רובד חיידקים וחלקיקי מזון מהשיניים והחניכיים.
- השתמשו במי פה אנטי בקטריאליים: שטיפה במי פה אנטי בקטריאליים יכולה לעזור להרוג חיידקים ולהפחית את הסיכון לדלקות חניכיים. מי הפה האנטי בקטריאליים מצריכים מרשם ומוגבלים לשימוש לתקופה של עד שבוע בלבד.
- שמרו על תזונה בריאה: אכלו תזונה מאוזנת העשירה בחומרים מזינים ודלה בסוכר כדי לשמור על בריאות הפה ובריאות הגוף בכלליות.
- הימנעו מעישון: עישון עלול להגביר את הסיכון לדלקת חניכיים ולהקשות על הגוף להילחם בזיהומים.
- ניהול סטרס: מתח יכול להחליש את המערכת החיסונית ולהגביר את הסיכון לדלקות חניכיים. תרגלו טכניקות להפחתת מתח, כגון מדיטציה או יוגה, כדי לסייע בהורדת הלחץ הנפשי.
- בקרו אצל רופא השיניים באופן קבוע: בדיקות שיניים וניקוי שיניים אצל השיננית באופן קבוע יכולים לסייע בזיהוי וטיפול במחלות חניכיים בשלב מוקדם.
- טיפול בגורמי סיכון: טפלו בכל גורמי הסיכון הבסיסיים, כגון סוכרת או תרופות הגורמות ליובש בפה, כדי להפחית את הסיכון לדלקות חניכיים.
הקפדה על טיפים אלה תוכל לעזור לכם לשמור על היגיינת פה טובה יותר ומניעת התפתחות דלקות חניכיים.
תוך כמה זמן עוברת דלקת חניכיים?
משך הזמן שלוקח לטפל בדלקת חניכיים יכול להשתנות בהתאם לחומרת המצב ועד כמה המטופל\ת מגיב\ה לטיפול.
באופן כללי, טיפול מלא בדלקת חניכיים יכול לקחת מספר שבועות עד מספר חודשים. השלב הראשון בטיפול הוא בדרך כלל ניקוי שיניים יסודי להסרת רובד החיידקים והצטברות האבנית שגורמים לדלקת. לאחר מכן, המטופל\ת יצטרך לשמור על שגרת היגיינת פה נאותה, כולל צחצוח שיניים ושימוש בחוט דנטלי באופן קבוע.
אם דלקת החניכיים חמורה יותר, רופאת השיניים עשויה להמליץ על טיפולים נוספים כגון ניקוי עמוק והקצעת שורשים או טיפול אנטיביוטי. במקרים אלו, זמן הטיפול עשוי להיות ארוך יותר.
חשוב לציין שגם לאחר טיפול בדלקת החניכיים, חשוב להמשיך בשמירה על היגיינת הפה כדי למנוע את הישנותה של דלקת החניכיים. גם בדיקות שיניים וניקוי שיניים קבועים חשובים לשמירה על בריאות החניכיים והשיניים.
דלקת חניכיים בהריון – מה הקשר?
הריון יכול להגביר את הסיכון לפתח דלקת חניכיים. במהלך ההריון, שינויים הורמונליים עלולים לגרום לחניכיים להיות רגישות יותר לפלאק ולחיידקים, מה שמוביל לדלקת ונפיחות.
באופן ספציפי, רמות ההורמון פרוגסטרון עולות במהלך ההריון, מה שעלול להשפיע על תגובת הגוף לחיידקים ולהגביר את זרימת הדם לחניכיים, מה שהופך אותן לרגישות יותר לדלקת חניכיים. בנוסף, הריון יכול גם לגרום לנשים מסוימות לחוות שינויים בהרגלי האכילה שלהן ובשגרת היגיינת הפה, מה שיכול לתרום להתפתחות דלקת חניכיים.
לכן, חשוב שנשים בהריון ישמרו על הרגלי היגיינת פה נאותים, לרבות צחצוח שיניים ושימוש בחוט דנטלי באופן קבוע וביקור אצל רופאת השיניים לצורך בדיקות שיניים וניקיון שיניים קבועים.
סיכום
לדלקת חניכיים עלולות להיות השלכות חמורות אם היא אינה מטופלת בזמן. היא יכולה לגרום לנשירת שיניים ובעיות בריאות כלל-מערכתיות. עם זאת, על ידי הקפדה על היגיינת פה נאותה, שמירה על תזונה בריאה והתייחסות לכל גורמי הסיכון, לרוב ניתן למנוע דלקות חניכיים. אם אתם חווים תסמינים של דלקת חניכיים, כמו חניכיים מדממות או ריח רע מהפה, חשוב לפנות לטיפול במהירות כדי למנוע נזק נוסף. מרפאת השיניים שלנו בירושלים מציעה שירותי רפואת שיניים מקיפים, לרבות טיפולי חניכיים, על מנת לסייע לכם לשמור על בריאות הפה בצורה המיטבית. קבעו איתנו פגישת ייעוץ עוד היום על מנת לקבל טיפול והכוונה אישית עבור בריאות השיניים שלכם.


