Hello friends, this is Dr. Stela Heisler. As a dentist in Jerusalem with extensive experience in full mouth restoration, dental veneers, and dental implants, I see firsthand how full mouth reconstruction can transform lives. Whether you’ve lost multiple teeth, suffer from severe tooth wear, or simply want a new smile, full mouth reconstruction is a comprehensive solution that combines health and aesthetics. In this article, I’ll explain what full mouth reconstruction is, the available options, and the cost range in our capital city, Jerusalem. Let’s get started!
What is Full Mouth Reconstruction?
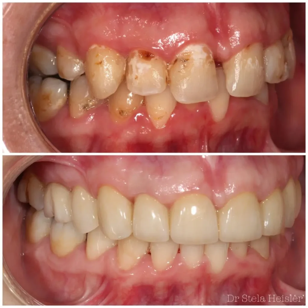
Full mouth reconstruction is a medical and aesthetic dental process designed to restore all the teeth in your mouth-both in terms of function and appearance. It’s suitable for patients dealing with issues like multiple missing teeth, severe tooth wear, advanced gum disease, or bite problems that affect the jaw and overall health. The goal is to restore a healthy, functional, and beautiful smile using advanced technologies such as implants, crowns, bridges, or porcelain veneers.
At my clinic in Jerusalem, I begin every process with a consultation that includes a thorough clinical examination and two bitewing X-rays. This allows me to assess your oral health and create a personalized treatment plan.

The Process: Step by Step
Full mouth reconstruction is a journey that requires meticulous planning and professionalism. Here are the main steps I follow:
- Comprehensive Diagnosis: I conduct a thorough examination, including digital X-rays and 3D scans, to assess the condition of your teeth, gums, and jawbone. I also listen to your needs-whether you want to improve aesthetics, function, or both.
- Customized Treatment Plan: Based on the diagnosis, I propose a combination of treatments, such as dental implants for missing teeth, zirconia or porcelain crowns for damaged teeth, or laminate veneers for an aesthetic smile.
- Preliminary Treatments: Sometimes, foundational treatments like root canals, scaling and root planing, or gum disease treatment are needed to prepare your mouth for reconstruction.
- Performing the Reconstruction: This is the stage where implants, crowns, or veneers are placed. I use the most advanced technologies to ensure precision and comfort.
- Follow-Up and Recovery: After treatment, I guide you with maintenance instructions and periodic check-ups to ensure long-lasting results.
The process can take several months, depending on complexity, but the result? A new smile that boosts confidence and improves quality of life!
Options for Full Mouth Reconstruction
The beauty of full mouth reconstruction is its customization. Here are some of the common options at my clinic:
Dental Implants
This is one of the most popular options for full mouth reconstruction. I insert artificial roots (made of titanium) into the jawbone, onto which crowns or bridges are attached. They provide high stability, prevent jawbone loss, and function like natural teeth-allowing comfortable eating without movement. Dental implants are ideal for those who’ve lost multiple teeth or need a full replacement, with a success rate of over 95% over time. The downside: they require minor surgery and a recovery period of several months.
For more information about dental implants, click here.
Crowns and Bridges
Crowns are artificial coverings (typically made of zirconia or porcelain) that cover a damaged tooth to restore its shape, strength, and appearance. Bridges, on the other hand, replace missing teeth by connecting to crowns on adjacent teeth, creating a continuous “bridge.” This is an excellent option for partial or full restoration, improving bite alignment and protecting weak teeth. They last 10-15 years on average but require healthy adjacent teeth for support; if none are available, we combine them with implants.
For more information about crowns and bridges, click here.
Porcelain or Laminate Veneers
These are thin layers of porcelain bonded to the front of the teeth to correct stains, cracks, misalignment, or gaps. Laminate veneers are a thinner version, preserving more of the natural tooth structure. This is primarily an aesthetic option, ideal for full mouth reconstruction if the issue is mainly appearance (not function). They last 10-20 years, look natural, and boost confidence-but they’re not suitable for severe wear or weak teeth.
For more information about porcelain or laminate veneers, click here.
Fixed or Removable Dentures
Removable dentures (like partial or full prosthetics) are a cost-effective solution for replacing multiple teeth, easy to fit, and removable for cleaning. Fixed dentures, often attached to implants, offer higher stability. They’re suitable for those who prefer to avoid complex surgeries but require maintenance and periodic adjustments. They improve eating and speaking but are less durable than implants.
For more information about fixed or removable dentures, click here.
Combination of Treatments
This is my holistic approach-combining multiple options, such as implants with veneers or crowns with bridges, to achieve optimal results. For example, implants as a base for full crowns or front veneers with back dentures. This allows perfect customization to your needs, blending aesthetics and function while addressing all issues at once. It’s ideal for most complex cases, with digital planning for high success rates.
Summary of Options:
- Dental Implants: A durable solution for replacing missing teeth, functioning like natural teeth. Ideal for long-term results.
- Crowns and Bridges: Zirconia or porcelain crowns restore damaged teeth, while bridges replace missing ones by connecting to adjacent teeth.
- Porcelain or Laminate Veneers: Perfect for enhancing the aesthetics of front teeth, especially for stains or misalignment.
- Fixed or Removable Dentures: A more affordable option for those avoiding implant surgeries.
- Combination of Treatments: I often combine implants with veneers or crowns for a perfect outcome.
Each option is tailored to your budget, health condition, and aesthetic expectations.

Costs in Jerusalem: What Affects the Price?
The cost of full mouth reconstruction varies based on the treatment’s complexity, materials used, and technology involved. In Jerusalem, prices typically range from tens of thousands to hundreds of thousands of shekels, depending on the number of implants, crowns, or veneers needed. For example:
- A single dental implant may cost between 3,000 and 6,000 ILS.
- A zirconia crown costs around 2,500-4,000 ILS per tooth.
- Laminate veneers range from 1,500 to 3,000 ILS per tooth.
At my clinic, I strive to offer fair prices while using the highest-quality materials, like zirconia and porcelain, and advanced technology. During the consultation, I provide a detailed cost estimate, with no surprises, to achieve a perfect smile and healthy mouth.
Why Choose Me for Full Mouth Reconstruction?
At my dental clinic in Jerusalem, I combine experience, cutting-edge technology, and a personal approach. I understand that full mouth reconstruction is a significant decision, so I guide you through every step-from initial diagnosis to post-treatment follow-up. With advanced training and a focus on aesthetic restoration, I guarantee results that blend function and beauty.
If you’re ready to start your journey to a new smile, schedule a consultation at my clinic in Jerusalem. I’m here to help you achieve a healthy mouth and a smile you’ll love-for a sweet and happy year!


